Elevating Smiles with Precision and Passion
Patient Intake Form
We’d love to hear from you. Please fill out and submit this form before your visit.

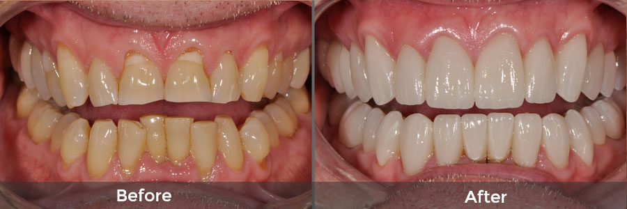
Gallery
Before & After Gallery
Subscribe to learn about new product features, the latest in technology and updates.





